定期検診・メンテナンス|鈴鹿市の歯医者

定期検診・メンテナンス|鈴鹿市の歯医者

もとはし歯科

もとはし歯科

鈴鹿市・亀山市の歯医者

もとはし歯科

もとはし歯科

定期検診・メンテナンス

患者さまと歯科医院が
二人三脚で取り組む
大切な歯を守る予防習慣

鈴鹿市の歯医者 もとはし歯科では、虫歯や歯周病のリスクについて視覚的にわかりやすくご説明することで、ご自身のお口の中の状態をしっかりと理解していただけるよう努めています。歯科医院だけでなく、ご自宅とのダブルケアによる予防を通して、長期的にお口の健康をサポートしていきます。

もとはし歯科の
定期検診・メンテナンス

予防ケア

point01

視覚的にわかりやすい説明と
「わかる」から続けられる
予防ケア

鈴鹿市の歯医者 もとはし歯科では、患者さまにお口の状態をしっかりご理解いただけるよう、口頭での説明だけでなく、検査結果のデータや口腔内写真を活用し、視覚的にもわかりやすい説明を心がけています。
過去のデータと比較しながら、現在のお口の状態を患者さまご自身に把握していただくことで、改善が見られる場合にはその良い状態を維持できるように、また、さらなるケアが必要な場合にも、目で見て納得できる説明を行っています。
ご自身のお口の状態を正しく理解することは、日々のケアへの意識を高め、予防効果の向上にもつながります。
予防ケア
あなたに合った歯みがき習慣

point02

歯科衛生士と一緒に身につける
あなたに合った歯みがき習慣

予防のプロフェッショナルである歯科衛生士がご自宅では落とせない汚れまでしっかりとクリーニングします。
定期検診では、患者さまのお話を丁寧にお伺いし、その時その時の患者さまのお悩みや不安にやさしく寄り添います。
一人ひとりのお口の状態に合った歯ブラシの選び方や使い方をお伝えし、ご自宅での毎日のセルフケアをより効果的にしていただけるように継続的にサポートします。
あなたに合った歯みがき習慣
定期的な精密検査

point03

より正確な診断とケアを
ご提供するための
定期的な精密検査

鈴鹿市の歯医者 もとはし歯科では、より効果的な歯科診療をご提案するために、カウンセリングと定期的な検査を大切にしています。
一般的な検査だけでなく、必要に応じてレントゲン検査を行うことで、骨や歯の根の状態まで正確に把握し適切に診断します。
虫歯や歯周病はもちろん、歯並びや噛み合わせ、食いしばりなどお口全体を総合的に診ることによって、患者さまが本当に必要としているサポートをご提案いたします。
定期的な精密検査

歯科医院とご自宅の
「ダブルケア」で
予防効果を最大限に高めます

歯科医院で行う
プロフェッショナルケア

小さな変化も見逃さないプロのチェック

小さな変化も見逃さないプロのチェック

治療して良くなったお口の中も、時間が経つと虫歯や歯周病が再発し、気がつかないうちに進行してしまうことがあります。自分では気がつくことが難しいお口の変化を確認したり、健康なお口の状態を長く維持するためにも、定期的なプロによるチェックとメンテナンスを受けることをおすすめいたします。

当院で行うお口のケア・健康管理

問診

問診
お口について気になること、普段の生活習慣や食生活についてお伺いします。虫歯や歯周病のなりやすさは遺伝的な関係もあるため、ヒアリングを通して傾向を把握していきます。

歯周病検査

歯周病検査
歯周ポケットとよばれる、溝の深さを測定し、歯周病の有無や状態を確認していきます。出血の有無や、歯の揺れがあるかを調べていきます。

口腔内写真

口腔内写真
目に見える形でお口の中を実際に確認してもらい、検査結果の数値だけではわからないご自身のお口の状態を把握していただくことができます。

フッ素塗布

フッ素塗布
歯面にフッ素を塗布し、歯の表面(エナメル質)を強化し、酸によるダメージを受けにくくします。虫歯菌の活動を抑える働きもあります。

ブラッシング指導

ブラッシング指導
ご自宅でのケアを高めるため、正しい歯ブラシの持ち方やブラッシングの仕方を歯科衛生士が指導いたします。

虫歯のチェック

歯並びのチェック
小さな虫歯も見逃さずチェックし、進行を防ぎながら歯を守ります。治療が必要か、フッ素塗布で経過観察できるかを判断します。

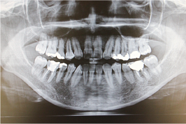
レントゲン検査

レントゲン検査

必要に応じて
年1回程度

circle
年に1回程度、骨の状態や、目には見えない虫歯や歯石の付着などを詳しく調べるため、レントゲン撮影を行います。

CT検査

CT検査

必要に応じて
年1回程度

circle
歯科用CTは歯や顎の骨を立体的に映し出すことができ、より正確な診断が可能なため、必要に応じて活用しています。

ご自宅で行っていただくセルフケア

セルフケア

長く歯の健康を守るためには、
毎日のケアが大切

定期検診でお伝えしたブラッシング方法を、ご自宅で実践していただきます。
患者さまのお口に最適な歯ブラシや歯磨き粉のほか、デンタルフロスや歯間ブラシなどの補助器具を活用することで、虫歯や歯周病などのトラブルを効果的に予防することができます。
また、虫歯にならないための食生活の改善や、歯ぎしり、食いしばりを和らげるためのご提案など、トータルでサポートいたします。
WEB予約はこちら
インスタグラム